CHAPTER 3: DIAGNOSIS AND IMPACT ON REASONING ABILITY OF MORAL INJURY
A human rights reckoning after an engineering industry career across 6 countries since 2011.
NAVIGATION
Chapter 2: Definitions: several moral injury definitions exist based on the horrors confronted by soldiers and medical workers, I find the one that resonates.
YOU’RE HERE > Chapter 3: Diagnosis: I take the MIOS F to score my moral injury severity, and discuss the implications of a study showing a drop in reasoning capacity for those with moral injury.
TBC
Chapter 4: The Moral Transgression Immune Response: reflections on keeping myself from success.
Chapter 5: The Way Out: working through the sense of betrayal that drove my moral injuries and the responsibility I assumed that wasn’t actually my weight to carry (hat tip Wendy Dean, MD of Moral Injury of Healthcare).
INTRODUCTION
The brain is only capable of processing so much at once. When I grew up as a young psychology bachelors student we were told working memory could hold 7 ± 2 items at once. In 2010 a researcher revised this limit down to:
3 to 5 meaningful items in young adults (Cowen, 2010).
This chapter is about how these limited brain resources are consumed, through the lens of moral injury. With inevitable impact on reasoning ability. I discuss an amateur effort to administer a couple of psychological tests to measure moral injury severity and post traumatic stress disorder. I’m not a clinician. So don’t put too much stock in it. I also discuss Oshin Vartanian et al’s study, mentioned in the previous chapter. They found that moral injury causes a reduction in reasoning ability and map the brain whilst it happens.
A note on disclosure. I thought about it and decided not to tell you my results. I don’t want this to be some awkward, performative thing. Heaven forbid I come across as seeking clout by oversharing about a trauma. I don’t want to be an internet whore like Alex Jones mining a tragedy for content. Another thing. The moral injury test is not, in fact, a test about me anyway. Apart from my capacity for horror. It is a test about those who put the psychological injury on me. This concept is pivotal. A quote from Dr Kuelker’s talk mentioned in the last chapter:
You’re psychologically injured. You didn’t choose this for yourself. You didn’t sign up for it. You’ve got nothing to be ashamed of. Someone else inflicted it on you. The hypercritical mother, the bullying boss, they put a psychological injury on you. Without your consent. Without your agreement or understanding. So, acknowledge your psychological injuries without any shame.
But it wasn’t only me the psychological injury was put upon. In fact, thousands of others in the two cases I’ve described the past 2 chapters about Kuwait Gulf Oil Company oilfield projects. I am a mirror. The test result is just a measure of the degree of their leadership malpractice.
MIOS F
The MIOS F is the full version of the Moral Injury Outcome Scale. I came upon it from MacDonald Franklin OSI Research and Innovation Centre. They mention the Moral Injury Outcome Consortium as having produced it. Visit that page for the full test and scoring instructions. Needless to say, you should use it via a clinician. What I’m doing here is to satisfy my curiosity and to detect if it looks like I should use a clinician. This is my choice and not a recommendation. I do it partly to expose as much of the mechanics of moral injury recovery as possible. Namely, going from definitions to diagnosis to impact description to healing. I want to bring as many others along with me as I can. I encourage you to click through the link above, it will take you to a PDF with a page where you can see 14 items across 2 sub-scales. This measures your moral injury severity overall and against shame and mistrust components. It then has 9 additional items afterward, the Brief Inventory of Psychosocial Functioning (B-IPF; Kleiman et al., 2020).
Vartanian et al (2026) mention a clinical threshold of ≥31 on the MIOS. In the 14 items at the top, I scored above the clinical threshold. I scored higher on the mistrust sub-scale than that for shame. An example of an item was “I keep myself from having success”. I scored the maximum on that, 4. I will go into that in detail in the next chapter. The impact then, of my moral injuries appear to have had a large impact. The effect is strongest from the perspective of trust in others.
POST-TRAUMATIC CHECKLIST(PCL-5)
Participants of Vartanian et al (2026) were also checked for post traumatic stress disorder using the PCL-5, so I went ahead and took that too:
They state the clinical significant level on this is ≥33. I scored below that. I can tell you, however, that my score would have been a lot higher years ago when the event was happening or during the ensuing 3 years. Yep. Nightmares and a state of stress for that long.
IMPORTANCE OF REASONING ABILITY
Vartanian’s study is about reasoning performance. Reasoning capacity is central to professional success. They found it deteriorates in those with moral injury. Their’s is the first study about impact on reason, with this rationale:
...we suspected that participants with higher MIOS (and perhaps also PCL-5 scores) might be more sensitive to the presence of MI-related content during reasoning, which could serve to amplify its effects on accuracy.
So what are they saying? They’re limiting their predictions. They’re not anticipating a broad impact on all reasoning. Basically they’re thinking people will be triggered when they have morally transgressive material put in front of them. This will disturb them emotionally. This distraction will make them bad at reasoning. This returns us to the issue of limited working memory resources at the top. They’re saying that thinking about memories of moral transgressions may compete with resources that could otherwise be devoted to reasoning. They expect this will reduce reasoning ability.
It lead them to these 2 hypotheses:
[Hypothesis 1] ...compared to structurally identical arguments with neutral content, participants would exhibit lower accuracy on arguments that reference [moral injury]-related content...
[Hypothesis 2] ...compared to reasoning about structurally identical arguments with neutral content, reasoning about arguments that reference [moral injury]-related content would engage regions of the brain that underlie the experience of emotions and/or episodic memory...
A quote from the study linking working memory to reasoning and how reasoning is a window on intelligence:
...there is a large literature that has shown that individual differences in intelligence and cognitive ability are correlated with reasoning ability, and that working memory in particular is a strong predictor of performance on such tasks (De Neys, 2006; Kyllonen and Christal, 1990; Süß et al., 2002).
So there we have it, they’re linking working memory directly to reasoning performance, hence my flagging that to you at the beginning.
So why should we care? Most of us need a job to live. Most jobs require us to reason. If we’re bad at reasoning, we’ll lose the job or not get promoted. Maybe even demoted. We might struggle to get a job requiring high performance. This will cap our earnings. Bluntly put, in a meritocracy we may make less money if we can’t reason well. So we should care about this study because it could tell us about how our ability to provide for ourselves and our families is affected by our moral injuries. It could tell us that we should expect to perform less well at work if we’re thinking about a moral transgression. And that the performance impact could be even stronger if we have suffered a moral injury ourselves in the past, with a triggering effect from thinking about morally transgressive things.
Again, this is a narrow prediction. It is not about reasoning under normal circumstances where one hasn’t been primed by morally transgressive stimuli.
REASONING EXAMPLES FROM THE STUDY
These are examples of what people had to reason through, which I have used Gemini to evaluate.
Moral Injury Related
Victims and Sufferers
Premise 1: All victims are angry. (Universal set)
Premise 2: All sufferers are victims. (Subset)
Conclusion: Therefore, all sufferers are angry.
Evaluation: Valid. While this might feel more subjective in a real-world context, logically it is perfectly sound. The structure mirrors the athlete example exactly: if “Sufferers” is a subset of “Victims,” and the entire “Victims” set is “Angry,” the conclusion is inescapable.
Institutions and Leaders
Premise 1: All people trust institutions. (Universal set)
Premise 2: Some people are leaders. (Subset)
Conclusion: Therefore, some leaders do not trust institutions.
Evaluation: Invalid (Formal Fallacy). If all people trust institutions, and leaders are a sub-set of “people,” then logic dictates that every single leader must trust institutions. You cannot derive a “do not” from a universal “all” unless one of your premises is negative.
Neutral
Athletes and Olympians
Premise 1: All athletes are fit. (Universal set)
Premise 2: All Olympians are athletes. (Subset)
Conclusion: Therefore, all Olympians are fit.
Evaluation: Valid. This is a classic nested hierarchy. If the entire group of “Athletes” is contained within the “Fit” category, and the “Olympians” are entirely contained within “Athletes,” then every Olympian must, by definition, be fit.
Miners and Men
Premise 1: All miners are tall. (Universal set)
Premise 2: Some miners are men. (Subset)
Conclusion: Therefore, some men are not tall.
Evaluation: Invalid (Formal Fallacy). While this might be true in the real world, it does not follow from these specific premises. We know that the men who are miners are definitely tall (because all miners are tall). However, the premises tell us nothing about the men who are not miners. They could all be tall, or they could all be short; the logic provided doesn’t give us enough information to conclude that “some are not tall.”
Control
The study also included control arguments which did not invoke the person’s reasoning capacity. They used a non-sequitur. The reason for a group of participants to take control arguments is because this was not only a study about impact of moral injury on reasoning ability, it was a brain imaging study too:
Because by definition these control arguments do not necessitate the engagement of the reasoning system to be deemed invalid, they can be contrasted with regular arguments to elucidate the neural systems that underlie reasoning.
They had moral injury related and neutral control arguments for participants to evaluate.
Moral injury related control argument example about citizens and residents:
Premise 1: All citizens have trust issues.
Premise 2: No residents have trust issues.
Conclusion: Therefore, some offenders are not guilty people. (Non-sequitur)
Evaluation: Invalid (Non-sequitur) The premises establish a relationship between “Citizens,” “Residents,” and “Trust Issues” (concluding that no resident is a citizen). However, the conclusion jumps to “Offenders” and “Guilty people.” Because these terms appear nowhere in the premises, the conclusion is logically orphaned.
Neutral argument example about jury members and judges:
Premise 1: All jury members are citizens.
Premise 2: No judges are citizens.
Conclusion: Therefore, some popes are not Catholics. (Non-sequitur)
Evaluation: Invalid (Non-sequitur) Similar to the previous example, the premises define the relationship between “Jury Members,” “Judges,” and “Citizens.” While we can validly conclude that “No judges are jury members,” we cannot say anything about “Popes” or “Catholics” based on this information.
It goes without saying that I need a keen reasoning capacity. Otherwise my capacity to work and to combat life’s challenges diminishes. And, like anyone else, I need all self imposed limits on success removed to the maximum extent possible. An involuntary limit on success arrests the attention. But my research on healing suggests I have the agency to remove it. Anyway, what were the results of the study? Did moral injury really affect reasoning ability? What about post traumatic stress?
RESULTS
First of all, this circumstance is funny. I’m someone apparently with a moral injury trying to understand a scientific study about it. The results of which say I should find it difficult to understand the paper because my ability to reason is diminished. I confirm this. It was hard to reason through the syllogisms. I had to turn to Gemini to help understand why each one was right or wrong. What are the headline results then?
Participants who performed highest were the ones confronted with syllogisms about neutral content that concluded with non-sequiturs. This is the ‘neutral control accuracy’ group above which got their answers right 75% of the time on average. Those who performed the worst were the ones confronted with syllogisms about morally transgressive content that did not conclude with non-sequiturs. Hence, they actually had to engage their reasoning capacity.
Returning to the start of this article, the morally transgressive content of the syllogism likely preloaded their working memory system with competing material from the emotional activation of a past moral injury. Hence, the study hypothesised, they would have less working memory available than a non-injured person to perform the actual task, reasoning through the syllogism. This played out in the results. See the ‘MI accuracy’ line in the above table. These people had an average of 52% correct. Their reasoning ability was 20% less than those presented with the nonsense arguments.
Let’s look at this as a graph:
Just look at the vertical dotted lines. What happens to the blue line after those on all plots? It drops off. What we are seeing here is the results for participants with MIOS F and PCL5 scores above the clinical thresholds of 31 and 33, respectively. This means the decline in reasoning accuracy is most pronounced for those with significant moral injury and post traumatic stress.
This makes sense. Recall the post WW2 early definition of moral injury presented in the last chapter:
unresolvable emotional conflict
One may expect individuals with significant moral injuries and post traumatic stress to come to the experiment with their minds primed to flood working memory with thoughts about what they failed to prevent. At the slightest reminder of it. Such as reasoning about a morally transgressive situation. This flood of memories will compete for slots in working memory that a reasoning process will need for stepping through a syllogism. There are only 4-5 slots available. The study says reasoning goes more smoothly with all of them devoted to it: 75% accuracy on average. This is when reasoning about neutral syllogisms that don’t apparently evoke a self reflection about the past in parallel with a reasoning effort. When this self reflection is evoked in parallel: a 20% performance drop.
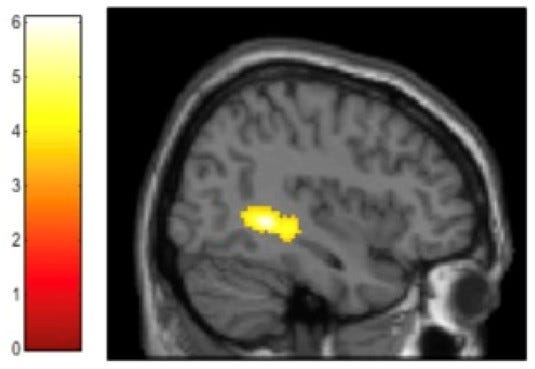
I said they mapped the brain as participants did this reasoning and it is telling.
Above is the right posterior parahippocampus, a part of the brain responsible for contextual associations in episodic memory. Vartanian et al:
Regarding the parahippocampal cortex (PHC) specifically, there is converging evidence to suggest that it plays a critical role in contextual associations—defined as the “link between objects strongly associated with the same context, or the spatial relation between items, or the configuration associated with a context” (Aminoff et al., 2013).
Gemini:
System Disruption: While neutral reasoning typically engages executive control [brain] regions ... the emotional/memory weight of moral injury shifts brain activity toward regions associated with internal distress and memory, leading to logical errors.
CONCLUSION
So there we have it. Reading the brain itself shows how the load of a moral injury primes the brain to lose working memory slots when there is a reasoning task that itself has a moral weight. It’s not only that though. The researchers also found a generalised drop in reasoning performance amongst study participants who said they had been exposed to some form of morally injurious event in the past.
This only increases our concern about having a moral injury put upon us. It appears we will struggle to reason in all circumstances compared to those who have not had one put upon them. Not just morally triggering circumstances.
With this study out of the way, let’s turn next to a specific example of how a moral injury can affect a person: holding oneself back from success. Or this strange phenomenon of what I am calling the ‘moral immune response’.







